相談+診断=無料
最短3カ月の前歯矯正
数ミリ単位で理想を実現
10年の後戻り補償あり


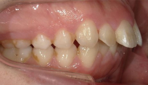
治療内容:マウスピース矯正(インビザライン)
治療期間:1年
費用:440,000円(税込)
リスクと副作用:痛み
歯を動かす際に歯根吸収や歯肉退縮が起こる場合があります。


相談+診断=無料







治療内容:マウスピース矯正(インビザライン)
治療期間:1年
費用:440,000円(税込)
リスクと副作用:痛み
歯を動かす際に歯根吸収や歯肉退縮が起こる場合があります。








すきっ歯や出っ歯など、全体的な矯正をするほどではないものの、前歯の歯並びだけが気になるという方は少なくありません。こうした部分矯正のニーズには、「マウスピース矯正」が適しています。全体の矯正に比べると低価格で治療期間も短いです。ご興味がありましたらお気軽にご相談ください。

すきっ歯

八重歯

出っ歯
「他の歯はキレイなのに前歯だけ出っ歯」
「すきっ歯が目立つ」
「八重歯が気になる」
こうした「歯並びの一部だけが気になる」というお悩みには、部分矯正がお勧めです。部分矯正は動かす歯が限られるため、「短期間・低価格」で治療できる可能性が高いです。当院では最短3ヵ月で治療を終えられる方もいます。
部分矯正のメリットについて、以下に詳しくご紹介します。

動かす歯の本数が少ないため、全体の矯正に比べて費用はかなり安めになります。歯並びによっても料金が変わりますので、具体的な料金については診察した上でお伝えいたしますが、当院では歯並びの状態に合わせ1枚4.4万円(税込)から提供もしています。その他、当院ならではの次の費用的なメリットもあります。
☑相談0円
☑診断0円
☑調整料0円
☑保定料0円
治療開始前の費用、そして治療中、治療後の費用負担も最小限に抑えられます!

従来の矯正治療は金属製のワイヤーやブラケットを装着するため、装置が目立つことがデメリットの一つでした。しかし、当院の部分矯正は透明な「マウスピース型矯正装置」を使用するので、治療期間中も笑顔に自信が持てます。マウスピース型矯正装置での治療について詳しくは、「大人のマウスピース矯正」のページで紹介しています。

当院では最短3ヵ月で治療が終わることもあります。また、更に治療期間を短縮させる「スピード矯正プラン(有料)」もご用意しています。結婚式や就職活動の準備として治療を受ける患者さんも多くいらっしゃいます。スピード矯正プランの詳細はこちらをご覧ください。

全体矯正は、奥歯を支点に歯並び全体の噛み合わせを調整する性質上、歯を大きく移動させることになります。これによって歯を支えている歯槽骨も大きく再形成されるため、痛みや違和感が生じやすくなります。
一方、部分矯正の場合は歯の移動が少なく、それだけ骨への影響も少ないため、痛みも比較的少ないのです。

ここからは部分矯正が適用できる具体的なケースをご紹介します。
前歯にわずかな隙間がある症例は、部分矯正で隙間を閉じることができます。
特定の歯が回転/斜めになっている場合は、その歯だけを正常な位置に戻せばよいので、部分矯正で治療できます。
前歯に軽度の歪みが見られる場合も、部分矯正で治療可能です。
過去に受けた矯正治療のあとに歯並びが「後戻り」した場合も、部分矯正で問題の歯だけを動かせることがあります。






当院の理事長、Dr.湊は、これまでに5,000を超える矯正治療を手がけてきた実績を持ち、その卓越した技術が評価され、インビザラインの「トッププロバイダー」に3大会連続で選出されています。この称号は国内外でわずか数名しか授与されない名誉あるものです。
さらに、当院は7年連続でインビザライン・ダイヤモンドプロバイダーを取得し、現在は「ブルー・ダイヤモンドプロバイダー」に認定されています。この認定は、年間751症例から1000症例を達成した医院にのみ与えられるもの。これだけ多くの症例を手がけられるのは、多くの患者さまからの信頼がある証であり、高度な技術力をもって迅速かつ高品質な治療を提供しているからです。
治療期間の短縮と高い精度、この両立を可能にする世界レベルの矯正技術を、ぜひ当院でご体験ください。

「矯正したいけど、費用のことが気になる…」
「装置代や調整料が細かく分かれていて、結局いくらかかるのか分からない…」
矯正治療が自費診療であることから、費用面に不安を抱く方は少なくありません。当院では、そうした心配を解消するために「トータルフィー(総額会計)」を採用しています。診断料をはじめとする矯正治療に必要なすべての費用を、治療前に明確にお伝えします。
一度ご提示した金額には、装置代や調整料などすべてが含まれており、追加料金が発生することはありませんのでご安心ください。

当院の矯正治療は、もともと「短い治療期間」が大きな特徴ですが、さらにスピーディーな結果を求める方向けに「スピード矯正オプション(有料)」をご用意しています。このオプションを利用することで、ケースによりますが矯正期間を「8カ月~12カ月」ほど短縮することが可能です。次のような方に特におすすめです:
治療の詳細については、「短期間で矯正治療を終えたい」のページをご参照ください。短期間で理想の笑顔を手に入れるお手伝いをいたします。


「当院で」新規矯正治療をご契約いただいた方が万が一後戻りしてしまった場合にも、安心して再矯正を受けられるプランをご用意しています。通常、再矯正は「55万円~」の費用がかかりますが、このプランでは特別料金として「22万円~」で治療を受けられます。さらに、治療後10年間の補償もお付けしています。
当院では、患者さんが抱えていらっしゃるお口のお悩みや疑問・不安などにお応えする機会を設けております。どんなことでも構いませんので、私たちにお話ししていただけたらと思います。
ご興味がある方は下記からお問い合わせください。
